Tumores malignos e benignos primários do sistema musculoesquelético


Tumores Ósseos
É uma doença rara, que se forma pelo crescimento de células anormais no osso. Esses tumores podem ser formadores ou destruidores de osso, causando dor, deformidades e alterando a rigidez do osso, e até apresentar fraturas.
Esses tumores podem afetar qualquer osso do corpo, porém é mais comum em ossos longos, coluna e bacia. Os tumores ósseos se dividem em tumores primários, que surgem e desenvolvem no próprio osso, e tumores secundários, que são infiltrações de tumores originados de outros órgãos disseminados pelo corpo. Os tumores primários são mais comuns em crianças e adultos jovens, enquanto os secundários afetam mais os idosos.
A diferença dos tumores malignos (câncer ósseo) para os benignos é a capacidade de espalhar pelo corpo. Apesar disso, os tumores benignos têm a capacidade de crescer e, com isso, alterar a capacidade funcional do membro afetado.
Sintomas
O principal sintoma é a dor que pode estar associada ao descarregar peso sobre o membro ou em repouso, principalmente na forma de dor noturna. Ela é de característica progressiva e, se não tratada, pode ser incapacitante. Os tumores mais agressivos podem afetar a estrutura óssea e provocar fraturas ósseas patológicas. Outra manifestação comum, porém, mais tardia, é o aparecimento de nódulos e abaulamento, a deformidade do membro, e nos casos mais agressivos, calor local e aparecimento de úlceras.
Diagnóstico
A suspeita de um tumor ósseo é feita através da avaliação minuciosa da queixa do paciente e exame físico. A partir da suspeita é realizada a triagem de exames que envolve Radiografias, Tomografia Computadorizada, Ressonância Magnética e Cintilografia Óssea, além de exames de sangue. Após o estudo dos exames, pode ser recomendada a biópsia do tecido do tumor. A biópsia é um procedimento que auxilia a especificar qual tumor e sua agressividade. Ela pode ser feita por meio de uma incisão ou por agulha.
Tratamento
Os tumores ósseos têm tratamento. Os tumores benignos são geralmente de conduta expectante, sem necessidade cirúrgica, porém, quando ocasionam destruição óssea, pode ser necessária a curetagem com enxertia. Já os casos malignos podem necessitar de tratamento multidisciplinar com Oncologia Clínica e Radioterapia, além de cirurgias com margem ampla e reconstrução com enxerto/próteses específicas para a patologia. O tratamento varia de acordo com o grau de avanço da doença, portanto, o diagnóstico precoce é fundamental para obtenção de bons resultados.




Os tumores ósseos benignos mais comuns:
Osteocondroma: é o tumor ósseo benigno mais comum, acomete crianças e adolescentes na fase de crescimento. Consiste no crescimento de proeminências ósseas nas regiões do joelho e ombros. Raramente está associada a forma múltipla que pode desenvolver deformidades dos membros ao longo do desenvolvimento.
Encondroma: é um tumor ósseo benigno formador de cartilagem mais comum após a 4a década da vida. O tumor benigno ósseo mais comum dos ossos das mãos, também muito frequente nos joelhos e ombros.
Displasia fibrosa: lesão óssea benigna em que ocorre a substituição do osso saudável por tecido fibroso. Frequente nas crianças e adolescentes, e tem dois tipos de apresentação: forma única, comum no fêmur; e forma múltipla, comumente associada a distúrbios endocrinológicos e manchas na pele.
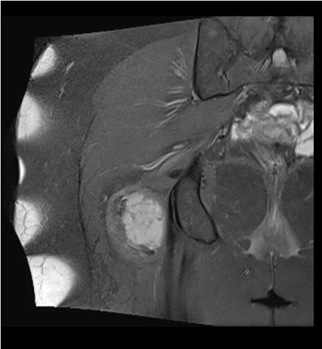
Tumor Gigantocelular: é um tumor benigno agressivo localmente. Acomete principalmente os adultos jovens, e pode destruir as extremidades dos ossos longos, como nos joelhos e punhos.
Osteoma osteóide: lesão óssea benigna formadora de osso, apesar de dolorosa, é uma lesão pequena (< 2cm), presente nos ossos longos de crianças. O tratamento pode ser necessário a ressecção cirúrgica, mas em muitos casos, a rádio ablação é uma alternativa.
Os tumores ósseos malignos mais comuns:
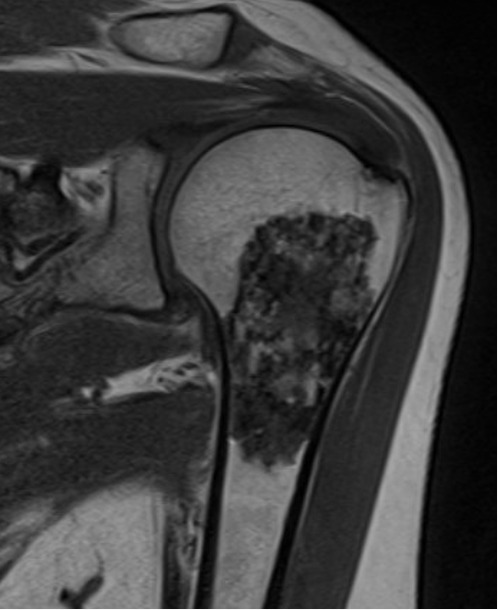
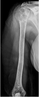
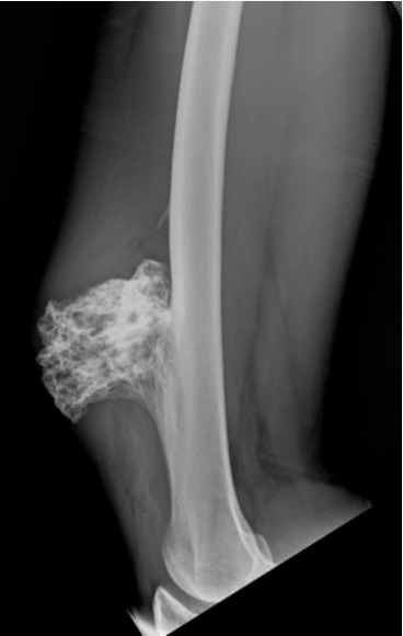
Osteossarcoma: é o tumor ósseo maligno primário mais comum dentre crianças e adolescentes. Acomete principalmente os ossos dos joelhos, ombros e quadris.
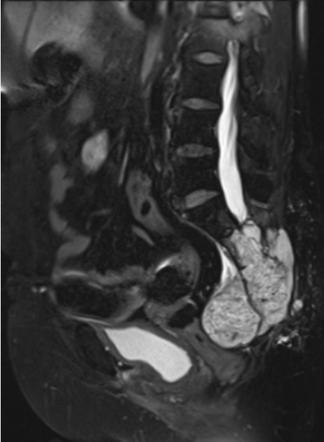
Sarcoma de Ewing: é o segundo tumor ósseo maligno primário dentre crianças, adolescentes e adultos jovens. Mais frequente em ossos longos como fêmur, tíbia e úmero, além dos ossos da bacia, escápula e coluna vertebral.
Condrossarcoma: É um tumor maligno primário que forma cartilagem. Acomete principalmente os adultos, nos ossos da bacia, fêmur e úmero.
Mieloma múltiplo: É considerado o tumor ósseo maligno primário mais frequente e acomete principalmente adultos e idosos. É a proliferação maligna das células da medula óssea chamada plasmócitos que pode infiltrar em diversos ossos ao mesmo tempo, causando não só fragilidade óssea nos ossos longos, coluna e bacia, como também, causa distúrbios clínicos como anemia e insuficiência renal.





Tumores de Partes Moles
É uma doença rara, que aparece na forma de um nódulo ou massa de crescimento progressivo e indolor, resultado da proliferação de células anormais que se dividem e multiplicam de maneira incontrolável. Essas lesões podem se originar de células musculares, gordura, cartilagem, nervos e até vasos sanguíneos. Portanto, tem comportamento variado. Os tumores benignos têm pouco potencial de enviar metástases ao corpo, podendo ser tratados pela simples ressecção da lesão. Os tumores malignos são de tratamento mais complexo, devido à capacidade de enviar células cancerígenas para órgãos e se disseminar através dos linfonodos (ínguas). Devido a agressividade dos tumores malignos, o diagnóstico precoce e o tratamento especializado são fundamentais para obter melhores resultados.
Sintomas
Os tumores de partes moles geralmente são indolores, portanto, a principal queixa é o aparecimento de nódulos e abaulamentos que podem apresentar incômodo local ou queixa estética. O crescimento pode ser lento ou progressivo, e quando muito grandes, podem afetar a função do membro. Os tumores benignos geralmente têm como principais características o crescimento lento, aspecto amolecido, móvel, se adesão aos planos profundos. Os tumores malignos têm crescimento progressivo, endurecido, pouco móvel e aderido aos planos profundos, além do aparecimento de varizes, ulcerações e sangramento. Quando os tumores afetam nervos e vasos, podem causar edema do membro e dor, independente da sua agressividade.
Diagnóstico
A avaliação de um médico especializado é fundamental para um diagnóstico correto. Devido a sua raridade e poucos sintomas, o diagnóstico é difícil e pode ser retardado. O exame físico minucioso e a avaliação da história clínica são importantes para a diferenciação de tumores para outras doenças mais comuns, como abscessos, infecções, doenças inflamatórias e vasculares. A Ressonância Magnética é o melhor exame para investigação de tumores de partes moles, proporcionando uma boa percepção da anatomia local e características do tumor. A biópsia através de agulha ou por meio de incisão pode ser indicada para auxiliar o diagnóstico e guiar o tratamento definitivo.
Tratamento
O tratamento dos tumores de partes moles é cirúrgico. Os tumores benignos podem ser abordados cirurgicamente a depender dos sintomas e localização da lesão. Os tumores malignos, chamados de Sarcomas de partes moles, são tumores agressivos com alto potencial de metástases, podem afetar o sistema linfático, na forma de linfonodos (ínguas) e o sistema hematológico, na forma de metástases pulmonares, hepáticas e cerebrais. Nesse caso, a ressecção é ampla para garantir a melhor margem possível, para futuramente um tratamento multidisciplinar que pode envolver quimioterapia e radioterapia.
Os tumores de partes moles benignos mais comuns:
Lipoma: é o tumor de partes moles mais frequente em adultos e está presente no tronco, cabeça e membros em geral. Originado das células de gordura, são indolores, e podem acometer o subcutâneo ou até mesmo planos profundos musculares, causando incômodo devido ao volume local ou queixas estéticas.
Cisto Sinovial: é um tumor benigno, preenchido por um conteúdo mucoso e que geralmente está conectado à cápsula da articulação sinovial ou à bainha sinovial do tendão adjacente.
O cisto sinovial pode surgir em todas as articulações do corpo, mais frequentemente no punho e mão, pé e tornozelo e joelho. Quando sintomático, pode ser retirado por cirurgia ou artroscopia.
Hemangioma: tumor benigno de origem vascular, geralmente assintomático, pode acometer qualquer localização, desde a pele até a proximidade de tendões e articulações. Geralmente, é feito o acompanhamento clínico, e quando necessário, responde bem a medicações específicas ou embolizações dos vasos sanguíneos. Quando doloroso ou ao atrapalhar o movimento articular pode ser retirado cirurgicamente.
Schwannoma: é um tumor benigno de origem da bainha dos nervos, comum em adultos após 40 anos, na região das extremidades como antebraço e mãos, pernas e pés. Devido a sua origem no sistema nervoso periférico, pode ser muito doloroso e causar a compressão de nervos, geralmente, é retirado cirurgicamente.
Tumor de células gigantes da bainha de tendão: tumor benigno de partes moles mais comum da mão, afeta face, palmar e dedos, também frequente nos pés. Devido à proximidade dos tendões, podem causar incômodo no movimento e dor.




Os tumores de partes moles malignos (Sarcomas) mais comuns:
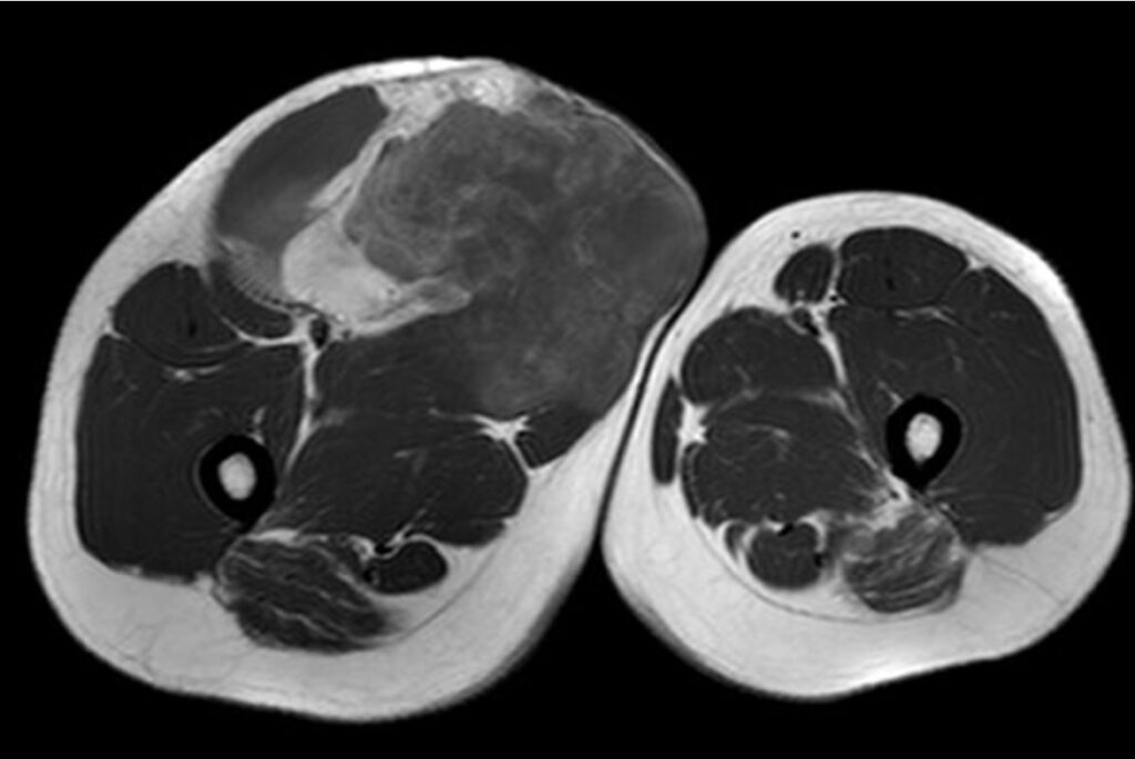
Lipossarcoma: este tipo de câncer é originado do tecido gorduroso do corpo, frequente em pacientes adultos e idosos. A localização mais frequente é a coxa, seguido dos demais membros e retroperitônio. Tem o aparecimento insidioso podendo atingir grandes volumes, merece atenção especial devido ao alto potencial de metástases à distância.
Rabdomiossarcoma: tumor maligno de partes moles proveniente das células musculares. É o mais comum na infância e adolescência, mas pode ocorrer em adultos. Frequente no tronco e membros, responde bem ao tratamento com quimioterapia e radioterapia, que auxiliam o tratamento cirúrgico.
Sarcoma Sinovial: é uma doença maligna das partes moles que é mais comum nas regiões justarticulares, como nos joelhos e quadris de adolescentes e jovens adultos. Boa resposta a quimioterapia e radioterapia, a abordagem multidisciplinar é fundamental para bons resultados.
